Windermere Dental Group Provides Comprehensive Care to Orlando, FL


New Patient Special: New Patient Exam and X-Rays for Only $49 * (Valid until 01/31/2025)

Request Your Appointment

Windermere Dental Group Welcomes All Hablamos Español

Our dentist, Dr. Susana Moncada, was born and raised in Venezuela. Her native fluency in Spanish allows her to provide optimal dental care to Florida's diverse population. Generations of families with different dental goals and preferred languages feel at home at Windermere Dental Group in Orlando, FL. Call or write to our team to request the high level of care you deserve. 

407-294-1132

 

 

Family smiling at each other

Elite Dentistry

For All Your Loved Ones

After working hard to become an honors student in her home country, Dr. Moncada chose to study dentistry here in the states. She was again named an honors student at Florida's Nova Southeastern University College of Dental Medicine and graduated in 2002. 

Dr. Moncada's well-rounded education and over two decades of experience allow her to provide comprehensive, quality care for patients of all ages. She is known for being an outstanding listener who empowers patients to make their own informed decisions. 

The team she leads at Windermere Dental Group has a reputation for being friendly, skilled, and patient-focused. Regardless of your family's needs, you can trust us to provide more beautiful and healthy smiles with the power of general, restorative, and cosmetic dentistry, as well as orthodontics

Get to Know Our Dentist Dr. Susana Moncada

Dr. Susana Moncada is the primary dentist at Windermere Dental Group. Her passion for helping her patients achieve and maintain excellent oral health is second to none. Dr. Moncada has advanced training in the full scope of modern dental techniques, including general dentistry, orthodontics, and cosmetic dentistry.

Dr. Moncada focuses on keeping her patients calm and relaxed while providing superior care. It is difficult to find a dentist in Orlando, FL, who is more invested in her patients than Dr. Moncada. She has even invested in advanced dental technology that allows her to complete many procedures in a single day. 

Dr. Susana Moncada

"I've been going to this dentist for almost 18 years."

1

Irene Draves

2023

Google logo

Great customer service, the staff is nice and make you feel comfortable.

View on Google
1

Lauren Clark

2022

Google logo

I’ve been going to this dentist for almost 18 years. Always been satisfied!

View on Google

Schedule Your Dental Appointment Today

Our dentistry practice provides patients with convenient comprehensive care. We value your time and work hard to provide you and your family with quality dental work in a timely manner. When developing a treatment plan, our dentist will explain everything, so you feel comfortable before making a final decision. From general cleanings to complete smile makeovers, we can give you a beautifully healthy smile.

Experts recommend visiting a dentist at least once every six months to maintain optimal oral health. If it has been a while since your last appointment with a dentist, we invite you to schedule an appointment at Windermere Dental Group in Orlando, FL, today!

You can schedule an appointment by contacting us online or calling:

Dental patient

We Create Incredible Transformations See Our Real Results

Dr. Moncada achieves her stunning enhancements by developing customized treatment plans. She creates precise mockups of your projected results so you know exactly what to expect. See for yourself the incredible results her orthodontic treatment achieved for this Orlando patient. 

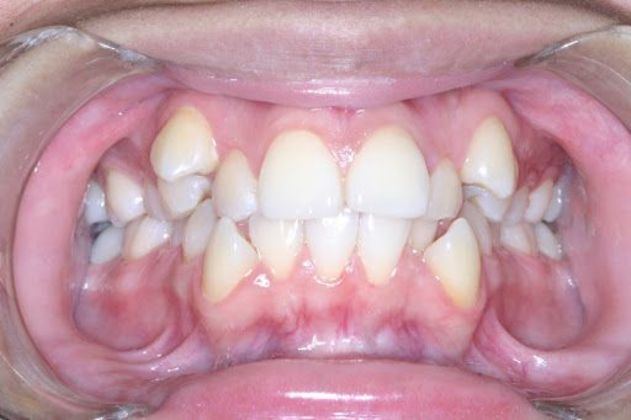
Case 1 before orthodontic procedure
Before This patient's adult teeth developed with significant misalignment.
Case 1 after orthodontic procedure
After Dr. Moncada not only corrected the aesthetics of his teeth but improved the alignment of his jaws. 

"They made me feel at home"

1

Missy Rich

2022

Google logo

Awesome services. Friendly staff. Very clean facility! State of the art equipment.

View on Google
1

Emy Menjivar

2022

Google logo

Amazing service, very friendly and helpful with my insurance. They made me feel at home, definitely my dentist of preference.

View on Google

Explore Our Featured Procedures

Dental Crowns

A tooth that has been compromised due to trauma or decay can cause pain, make chewing and speaking difficult, and make you feel self-conscious. Whether your tooth has suffered trauma or undergone a procedure such as a root canal, a crown can protect it from further damage and prevent the need for extraction. Made of durable modern materials that are engineered to mimic the light-reflecting properties of your natural teeth, a dental crown can last a decade or longer. Our Orlando, FL, dentistry practice uses the CEREC system to provide custom crowns in a single appointment.

More About Dental Crowns

Dental Implants

Dental implants replace lost tooth roots. They keep bridges, crowns, and dentures firmly in place, allowing you to chew and speak properly. Meanwhile, the absence of tooth roots causes the bone tissue in your jawbone to deteriorate. Left untreated, jawbone atrophy will begin to cause the surrounding teeth to begin to shift, leading to a sunken and aged facial appearance. Implants are the only treatment in modern dentistry proven to stop jawbone atrophy. 

More About Dental Implants

Veneers

Even if you are in excellent oral health, your smile can appear unhealthy if it is affected by worn, chipped, or slightly crooked teeth. Veneers are thin porcelain shells that are custom-made to conceal the imperfections that can have a negative impact on the look of your smile. Made from the same medical-grade porcelain as crowns, veneers are color-matched to your surrounding teeth for a seamless appearance. For patients looking for a minimally invasive option, we also offer no-prep Lumineers®. 

More About Veneers

Root Canal

When decay reaches the inner tissue of a tooth, the infection can cause a number of painful symptoms. If ignored long enough, you can lose the infected tooth. A root canal removes the inner tissue of the infected tooth, relieving pain, eliminating the infection, and preserving the exterior tooth structure. Despite what you may have heard, a root canal is virtually painless, and once completed, it eliminates the need for extraction. If you are experiencing a toothache, sudden sensitivity to heat and cold, or a sudden bad taste in your mouth, you may need a root canal.

More About Root Canals

Orthodontic Treatment

Our orthodontic services can correct alignment issues such as crowded or crooked teeth, jaw misalignment, overbites, or underbites. For patients interested in orthodontics, Windermere Dental Group in Orlando, FL, can provide both traditional braces and clear aligner systems such as Invisalign® and ClearCorrect™. If you are not sure which option is right for you, our dentist can evaluate your needs and present you with options during a free consultation. Our goal is to help you make the most informed choice about your orthodontic care. 

More About Orthodontics

"So happy to have found Dr. Moncada."

1

mike amato

2022

Google logo

They were able to see me the same day I called and do a root canal that I desperately needed. Very friendly staff preformed the procedure very fast and most importantly painlessly. I can finally enjoy my food again.

View on Google
1

Naomi Malone

2022

Google logo

I am so happy to have found Dr. Moncada and her excellent team. As a person who feared going to the dentist I feel I am in good hands and am now able to feel safe in their care. Thank you!

View on Google

We participate with most PPO dental insurance

  • Delta Dental 

  • Metlife 

  • Cigna

  • Guardian 

  • Humana

  • Principal

  • Aetna

  • And many more. 

*(Codes: D0150, D0140, D0274, D0330, D0220). ONLY FOR PATIENTS WITHOUT INSURANCE. THE PATIENT AND ANY OTHER PERSON RESPONSIBLE FOR PAYMENT HAS A RIGHT TO REFUSE TO PAY, CANCEL PAYMENT, OR BE REIMBURSED FOR PAYMENT FOR ANY OTHER SERVICE, EXAMINATION, OR TREATMENT THAT IS PERFORMED AS A RESULT OF AND WITHIN 72 HOURS OF RESPONDING TO THE ADVERTISEMENT FOR THE FREE, DISCOUNTED FEE, OR REDUCED FEE SERVICE, EXAMINATION, OR TREATMENT

Dr. Moncada

Windermere Dental Group

Dr. Moncada and her team of dental professionals are dedicated to providing the highest level of care. Our cosmetic dentistry practice can provide:

To schedule an appointment at our office in Orlando, FL, contact us online or call (407) 294-1132.

Contact Us

Rate, Review & Explore

Social Accounts Sprite
Google map image of our location in 6996 Piazza Grande Ave Ste 209 Orlando, FL

Orlando Office

6996 Piazza Grande Ave
Ste 209
Orlando, FL 32835

Loading hours...

Tell us a bit about yourself...

(407) 294-1132 Send a message